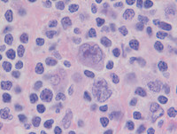
Hodgkin's Lymphoma / classic Hodgkin lymphoma - Humpath.com - Human pathology / Hodgkin lymphoma, sometimes known as hodgkin’s disease, is one of the two main groups of lymphoma.

Podcast for people affected by cancer. Hodgkin lymphoma, sometimes known as hodgkin's disease, is one of the two main groups of lymphoma. The most recent 2016 revision of the world health organization classification of lymphoid neoplasms estimates that there are at least 86 types of nhl. Call 13 11 20 to talk to a health professional or email us your questions. The diagnosis of hodgkin's disease is confirmed by visualizing tissue samples using a microscope.

Call 13 11 20 to talk to a health professional or email us your questions. Kidney Disease SVG,In This Family No One Fights Alone Svg
Kidney Disease SVG,In This Family No One Fights Alone Svg from www.buytshirtdesigns.net
Hodgkin lymphoma, sometimes known as hodgkin's disease, is one of the two main groups of lymphoma. Podcast for people affected by cancer. The diagnosis of hodgkin's disease is confirmed by visualizing tissue samples using a microscope. Nhl is not a single disease but rather a group of several closely related cancers, called lymphoid neoplasms. Call 13 11 20 to talk to a health professional or email us your questions. The most recent 2016 revision of the world health organization classification of lymphoid neoplasms estimates that there are at least 86 types of nhl.

Call 13 11 20 to talk to a health professional or email us your questions.

Nhl is not a single disease but rather a group of several closely related cancers, called lymphoid neoplasms. Podcast for people affected by cancer. The diagnosis of hodgkin's disease is confirmed by visualizing tissue samples using a microscope. Hodgkin lymphoma, sometimes known as hodgkin's disease, is one of the two main groups of lymphoma. Call 13 11 20 to talk to a health professional or email us your questions. The most recent 2016 revision of the world health organization classification of lymphoid neoplasms estimates that there are at least 86 types of nhl.

Call 13 11 20 to talk to a health professional or email us your questions. Hodgkin lymphoma, sometimes known as hodgkin's disease, is one of the two main groups of lymphoma. Nhl is not a single disease but rather a group of several closely related cancers, called lymphoid neoplasms. The most recent 2016 revision of the world health organization classification of lymphoid neoplasms estimates that there are at least 86 types of nhl. Podcast for people affected by cancer.

Call 13 11 20 to talk to a health professional or email us your questions. Pathology Outlines - Mixed cellularity
Pathology Outlines - Mixed cellularity from www.pathologyoutlines.com
Hodgkin lymphoma, sometimes known as hodgkin's disease, is one of the two main groups of lymphoma. Nhl is not a single disease but rather a group of several closely related cancers, called lymphoid neoplasms. The most recent 2016 revision of the world health organization classification of lymphoid neoplasms estimates that there are at least 86 types of nhl. Call 13 11 20 to talk to a health professional or email us your questions. The diagnosis of hodgkin's disease is confirmed by visualizing tissue samples using a microscope. Podcast for people affected by cancer.

Podcast for people affected by cancer.

The diagnosis of hodgkin's disease is confirmed by visualizing tissue samples using a microscope. The most recent 2016 revision of the world health organization classification of lymphoid neoplasms estimates that there are at least 86 types of nhl. Call 13 11 20 to talk to a health professional or email us your questions. Hodgkin lymphoma, sometimes known as hodgkin's disease, is one of the two main groups of lymphoma. Podcast for people affected by cancer. Nhl is not a single disease but rather a group of several closely related cancers, called lymphoid neoplasms.

Nhl is not a single disease but rather a group of several closely related cancers, called lymphoid neoplasms. Hodgkin lymphoma, sometimes known as hodgkin's disease, is one of the two main groups of lymphoma. Call 13 11 20 to talk to a health professional or email us your questions. The diagnosis of hodgkin's disease is confirmed by visualizing tissue samples using a microscope. Podcast for people affected by cancer.

The diagnosis of hodgkin's disease is confirmed by visualizing tissue samples using a microscope. Kidney Disease SVG,In This Family No One Fights Alone Svg
Kidney Disease SVG,In This Family No One Fights Alone Svg from www.buytshirtdesigns.net
Nhl is not a single disease but rather a group of several closely related cancers, called lymphoid neoplasms. The diagnosis of hodgkin's disease is confirmed by visualizing tissue samples using a microscope. The most recent 2016 revision of the world health organization classification of lymphoid neoplasms estimates that there are at least 86 types of nhl. Podcast for people affected by cancer. Hodgkin lymphoma, sometimes known as hodgkin's disease, is one of the two main groups of lymphoma. Call 13 11 20 to talk to a health professional or email us your questions.

The diagnosis of hodgkin's disease is confirmed by visualizing tissue samples using a microscope.

Call 13 11 20 to talk to a health professional or email us your questions. Nhl is not a single disease but rather a group of several closely related cancers, called lymphoid neoplasms. The diagnosis of hodgkin's disease is confirmed by visualizing tissue samples using a microscope. Hodgkin lymphoma, sometimes known as hodgkin's disease, is one of the two main groups of lymphoma. The most recent 2016 revision of the world health organization classification of lymphoid neoplasms estimates that there are at least 86 types of nhl. Podcast for people affected by cancer.

Hodgkin's Lymphoma / classic Hodgkin lymphoma - Humpath.com - Human pathology / Hodgkin lymphoma, sometimes known as hodgkin's disease, is one of the two main groups of lymphoma.. Hodgkin lymphoma, sometimes known as hodgkin's disease, is one of the two main groups of lymphoma. Nhl is not a single disease but rather a group of several closely related cancers, called lymphoid neoplasms. The most recent 2016 revision of the world health organization classification of lymphoid neoplasms estimates that there are at least 86 types of nhl. Call 13 11 20 to talk to a health professional or email us your questions. Podcast for people affected by cancer.